Ohtani Dental & Orthodontics

症例

CASE.

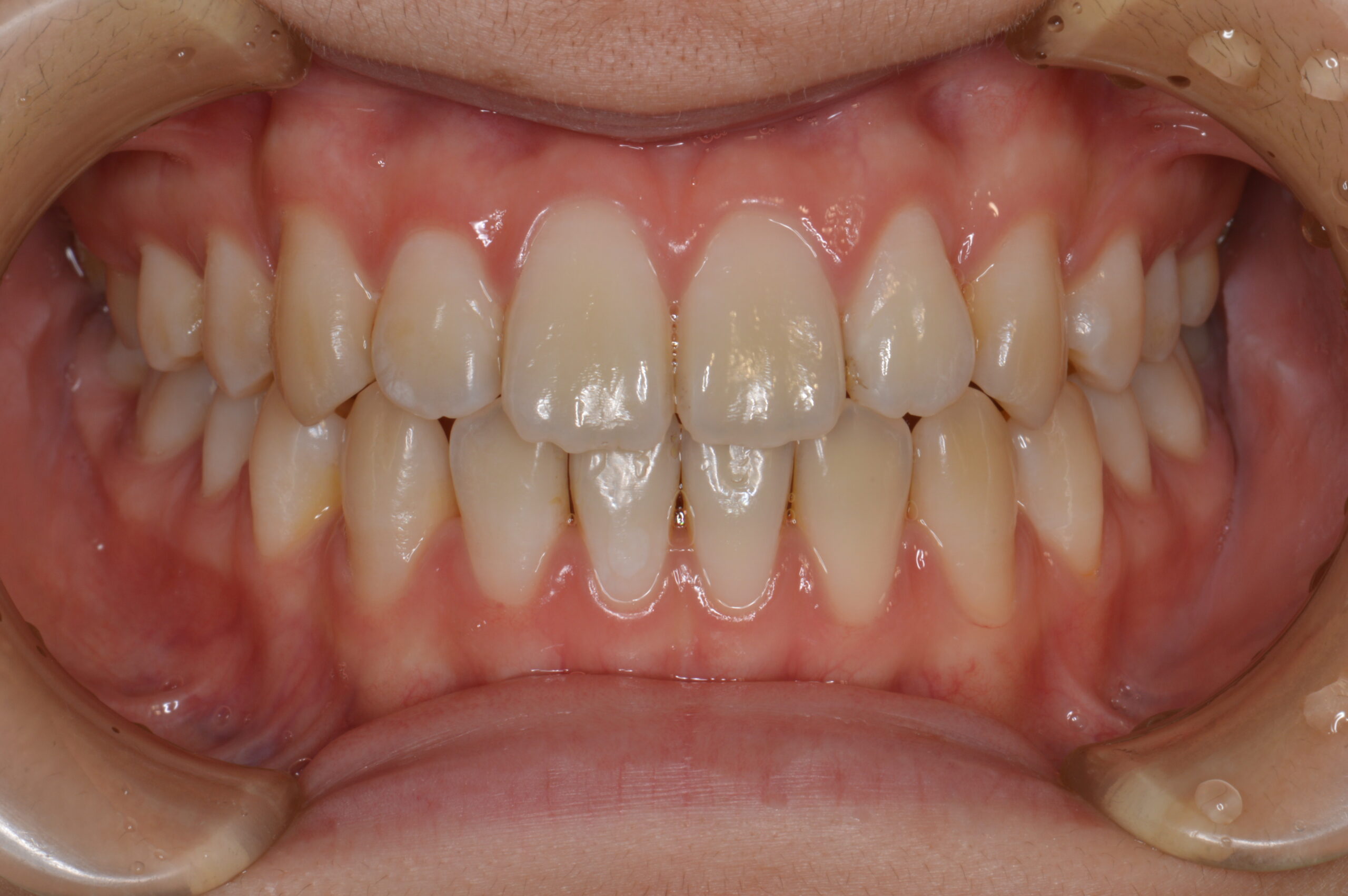
前歯のガタガタが気になるのを裏側矯正で改善

  • 治療前 治療前
    治療後 治療後

主訴

がたがたが気になる

治療期間

2年5ヶ月

治療費用

897,024(税込)

治療内容

叢生を非抜歯で舌側矯正 (リンガルブラケット) により改善した。

リスク・副作用

治療期間中は1ヶ月に1回程度の通院が必要です。他の矯正歯科治療と同様に、セルフケアを怠ると、虫歯や歯周病を発症する場合があります。ワイヤー調整後は、一時的な鈍痛や咬合痛を発症する場合があります。動的治療終了後は、保定装置を装着する必要があります。