大谷歯科矯正歯科
LINE相談
問合せ
予約画面に
進む
ホーム
診療項目
矯正歯科
歯周病治療
包括歯科診療
インプラント
カウンセリング
ホワイトニング
(ホワイトエッセンス)
スマイル外来
医院のご紹介
スタッフ紹介
採用情報
著書・学会等の実績一覧
お知らせ・医療コラム
症例一覧
医療費控除について
初めてご来院される方へ
事前問診表
診療カレンダー
クリニックのInstagram
院長のInstagram
Ohtani Dental & Orthodontics
症例
CASE.
症例一覧
すべて
矯正
矯正
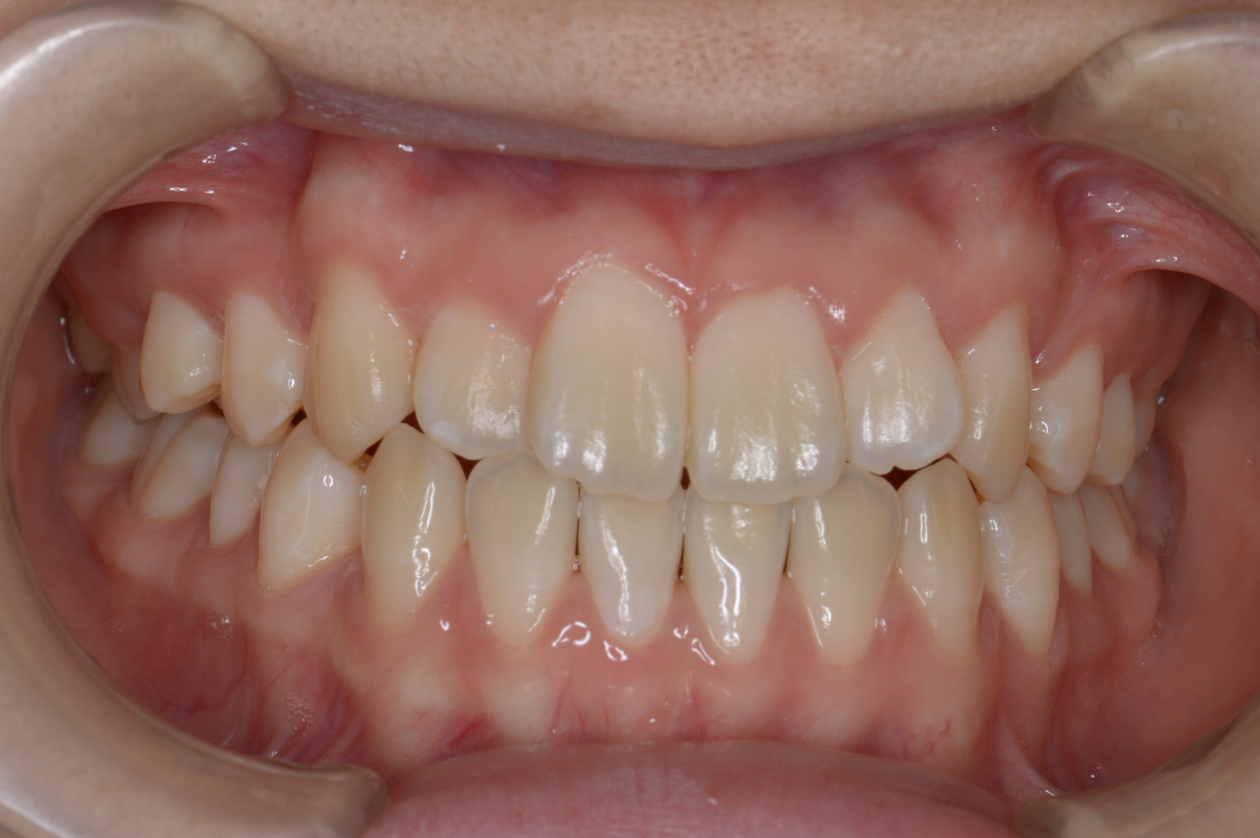
前歯のガタガタが気になるのを裏側矯正で改善
2026.02.28